Dyreklinikken Måløv-Smørum

Reproduktion

Brunstkontrol

På Dyreklinikken Måløv Smørum har vi særlige kompetencer og erfaringer med reproduktion og opdræt hos hunde og katte med alt inden for brunstkontrol, sædundersøgelser, insemineringer mv.​

​Brunstkontrol er afgørende for at optimere parringstidspunktet og øge chancen for en succesfuld drægtighed. En tæves løbetid varer typisk 2-3 uger og består af proøstrus som efterfølges af østrus.​

Vi bruger ‘MINI Vidas’ til at analysere progestoronniveauet.

Proøstrus

Proøstrus er den første fase af tævens løbetid og varer typisk mellem 7 og 10 dage, men kan variere afhængigt af hundens race og individuelle cyklus. Denne fase markerer begyndelsen på brunsten og er kendetegnet ved hormonelle og fysiske forandringer, som forbereder tæven på parring.​

Kendetegn ved proøstrus:

  • Blødning: Tæven begynder at få en blodig eller rødlig udflåd, hvilket er et tydeligt tegn på, at løbetiden er startet.
  • Hævelse af vulva: Vulva bliver markant større og mere hævet som følge af øget blodtilførsel.
  • Ændret adfærd: Tæven kan blive mere opmærksomhedssøgende, rastløs eller endda irritabel.
  • Tiltrækning af hanhunde: Hanhunde vil begynde at vise stor interesse for tæven, men hun vil endnu ikke acceptere parring og afviser ofte deres forsøg.​

I denne fase producerer tæven stigende mængder østrogen, hvilket forbereder kroppen på den efterfølgende østrus, hvor ægløsningen finder sted. For avlere er det vigtigt at følge tævens udvikling nøje og begynde at overvåge progesteronniveauet, hvis parring planlægges.

Østrus

Østrus er den fase i tævens løbetid, hvor hun er parringsvillig og kan blive drægtig. Denne periode varer typisk mellem 5 og 10 dage, men kan variere afhængigt af race og individ. Østrus følger efter proøstrus og er kendetegnet ved ægløsning og ændret adfærd.​

Kendetegn ved østrus:

  • Udflåd: Blødningen aftager og bliver ofte lysere eller klar.
  • Vulva: Fortsat hævet, men ofte blødere end under proøstrus.
  • Parringsvillighed: Tæven accepterer hanhunde, står stille og løfter halen til siden, hvilket kaldes “standrefleks”.
  • Hormoner: Progesteronniveauet stiger, og ægløsningen finder sted.​

For avlere er østrus den vigtigste fase at overvåge. Progesteronmåling og vaginalcytologi kan bruges til at bestemme det optimale parringstidspunkt. Hvis parringen er vellykket, overgår tæven efterfølgende til metøstrus/diestrus, hvor en eventuel drægtighed udvikler sig.

Selve brunstkontrollen består af følgende:

  1. Progesteronmåling: En blodprøve, der måler progesteronniveauet hos tæven
  2. Vaginalcytologi: En mikroskopisk undersøgelse af celler fra vaginas slimhinde kan hjælpe med at vurdere, hvornår tæven er klar til parring, da cellebilledet ændret sig i relation til tævens østrogen- og progesteron niveau.
  3. Vaginoskopi: Slimhinden i vagina ændrer udseende afhængig af tævens østrogen- og progesteron niveau.​

Ovenstående undersøgelser fortæller, hvor tæven er i sin cyklus og om hvorvidt hun er parringsklar. Ofte skal der flere brunstkontroller til, før vi kan finde det helt rigtige parringsinterval. Dette fordi vi dels vil sikre ikke at komme for sent til parringen og derfor ofte anbefaler at starte allerede på dag 8, men også fordi vi leder efter en pludselig stigning i progesteronniveauer og denne opdages bedst via gentagne målinger.​

Gennemsnitlig benyttes nedenstående tabel dog til estimerings af optimalt parringstidspunkt:

Progesteron (ng/ml)

Cyklus

<1

Tidlig proøstrus

2

Ægløsning om ca. 3 døgn

3

Ægløsning om ca. 2 døgn

4

Ægløsning om ca. 1 døgn

5-7

Ægløsning – parring om 2 døgn

Parring er optimalt 2 døgn efter tævens ægløsning. Dette skyldes at de ovulerede æg skal modnes før de er klar da til befrugtning

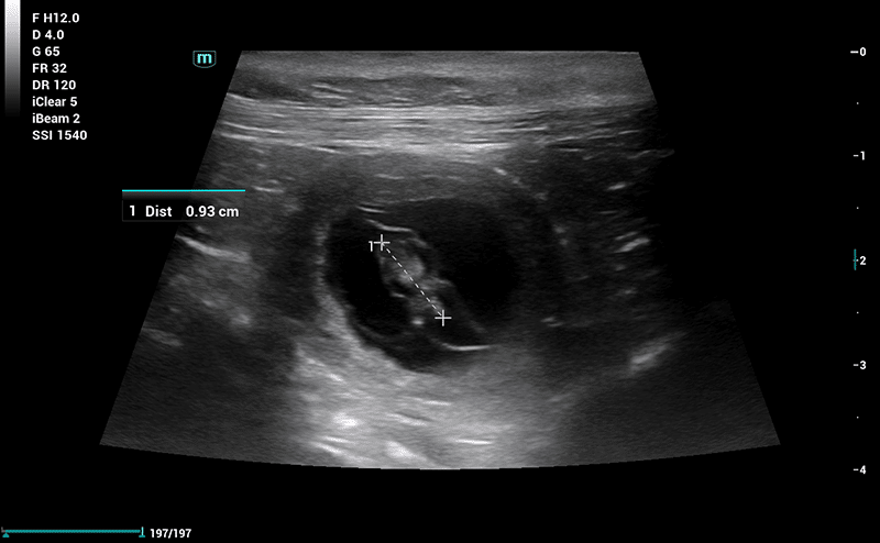
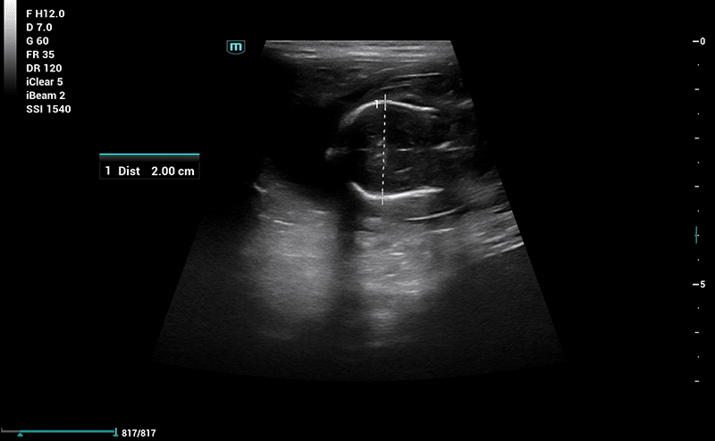
Drægtighedsscanning

Drægtighedsscanning anbefales omkring dag 24-26. Her vil vi dels kunne konstatere drægtighed, men også kigge på fostrenes udviklingstrin og hjerteslag, samt komme med et estimat på antal fostre.​

Vi tilbyder også en scanningspakke, hvor man kan følge fostrenes udvikling ved 4 scanninger gennem drægtigheden.​

Kontakt os for mere info.

Måling af længde på foster i forbindelse med drægtighedsscanning.

Kraniemål kan benyttes til fastsættelse af fødselstermin hos både hunde og katte.

Sædundersøgelse hos hund og kat

En sædundersøgelse er et centralt redskab til at vurdere hanhundens eller hankattens reproduktive potentiale. Undersøgelsen kan med fordel anvendes i forbindelse med avlsplanlægning, fertilitetsvurdering eller ved mistanke om nedsat frugtbarhed. 

Resultaterne giver en objektiv vurdering af fertiliteten og kan anvendes til planlægning af naturlig parring eller kunstig insemination samt forud for fremstilling af frostsæd eller forsendelse af kølesæd. 

Undersøgelsens indhold 

  • Makroskopisk vurdering: Ejakulatets volumen, farve og konsistens registreres. 
  • Koncentration: Antallet af sædceller pr. milliliter bestemmes. 
  • Motilitet: Bevægelsesmønster og andel levende, bevægelige sædceller vurderes. 
  • Morfologi: Formen på sædcellerne undersøges, og eventuelle defekter (hoved-, midtstykke- eller haledefekter) noteres. 
  • Levedygtighed: Andelen af levende kontra døde sædceller kan vurderes ved særlige farvemetoder.
     

Forberedelse og prøvetagning 
Hos hund foretages prøvetagningen typisk ved manuel stimulation i rolige omgivelser, ofte med en tæve til stede som stimulus. Hos kat er prøvetagning mere krævende idet udtagelsen kræver sedation hvorved katten har spontan sædafgang. Sæden kan herefter udtages med kateter. For ejeren og opdrætteren er det en fordel at medbringe en rolig og samarbejdsvillig han, der er vant til håndtering, da prøvetagning ellers ikke altid vil være muligt. 

En forudgående helbredsundersøgelse og test for eventuelle smitsomme sygdomme kan desuden anbefales, særligt hvis dyret anvendes i avl på tværs af besætninger eller landegrænser. 

44 97 02 02